むし歯
むし歯

口の中の細菌数は10兆個以上といわれ、そのうち、むし歯の原因となる酸を作る酸産生菌が70~80%を占めると考えられています。酸を作る代表的な細菌がミュータンス菌です。ミュータンス菌は飲食物の糖分を摂取・分解して酸を作り出します。この酸によって歯が溶かされますが、人の唾液には酸を中性に近づける働きがあり、また、カルシウムやリン酸を含み、これらの作用で溶かされた歯は修復されています。しかし、糖分の摂取が頻繁であったり、歯みがきの状態が悪かったりすると、酸の緩衝や修復が追いつかず、歯が溶けた状態が続くことになります。その部分は放置すると直に崩壊し、むし歯となります。
ミュータンス菌と同様に、強い酸を作り出すのがラクトバチラス菌です。ラクトバチラス菌は、エナメル質のようなツルツルした部分には生息できず、ミュータンス菌によって作られたむし歯のザラザラした部分や、奥歯の溝、詰め物や被せ物の適合が悪いすき間などに生息します。酸素の有無に関係なく生存できるため、酸素の少ない深いむし歯の中で酸を作り、さらに深部へとむし歯を拡大させていきます。
初期段階のむし歯は自覚症状が現れず、日常的なケアを怠ると悪化し、やがて痛みを伴うようになります。むし歯は早い段階で治療を開始すれば、比較的簡単な処置で治癒します。むし歯の兆候があればお早めに受診ください。
むし歯は、次のような条件が揃った場合になりやすいと考えられています。
歯質は一人ひとり異なり、むし歯のなりやすさを左右します。歯質を強化するためには、歯の再石灰化を促すフッ化物(フッ素)を利用したり、だ液の分泌を促進するためによく噛んだりすることが効果的です。
糖分の多い間食が増えると、口の中が酸性になり、むし歯になりやすい状態になります。間食を控えたり、糖分の少ないおやつを選んだり、バランスのとれた食生活を送るように心がけましょう。
キシリトールやフッ化物(フッ素)には、むし歯の原因となる細菌の活動を抑える働きがあります。キシリトール配合ガムを噛む、フッ素入り歯みがき粉を使う、といったことを日常で意識するとともに、歯科での定期的なクリーニングで、歯垢や歯石を除去することが効果的です。
口の中で酸が作られるまでには、少し時間がかかります。むし歯予防には、糖分を摂取したら早めにうがいや歯みがきをして、むし歯の原因となる酸を取り除くことが効果的です。
歯の痛み方でむし歯の進行をある程度知ることができます。その進行具合によって治療方法が異なります。
CO ごく初期のむし歯
症状
COは「シーオー」と読み、「C」はcaries(カリエス:むし歯)の頭文字で、「O」はobservation(オブザベーション:観察)の頭文字です。したがって「CO」は、むし歯になっているものの、今のところ治療の必要がない要観察歯となります。
むし歯菌が放出する酸によってエナメル質が溶かされ始めている段階で、歯の表面が白く濁って見えますが、まだ穴は空いておらず、痛みなどの自覚症状もありません。
治療方法
適切なブラッシングやフッ素塗布により、歯の再石灰化を促すことで治癒します。
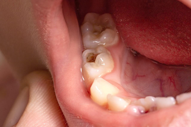
C1 エナメル質に小さな穴が空いたむし歯
症状
エナメル質がさらに溶かされ、小さな穴が空いた状態です。歯の表面は黒ずんで見えます。冷たいものを飲食した際に「しみる」などの自覚症状が現れますが、痛みはまだないため、ご自身でむし歯かどうかの判断がつきにくい状態です。
この段階では、歯を削らずに治すことができたり、削る場合でも麻酔を使わずに削る量を最小限に抑えて治療ができたりします。このC1の段階で早期に治療を受けることが理想です。
治療方法
むし歯の部分を最小限に削り、白い歯科用プラスチック(レンジ)などを詰め、表面をなめらかに整えます。
C2 歯の内部(象牙質)まで進行したむし歯
症状
むし歯がエナメル質の内側にある象牙質まで達している状態です。むし歯の部分は黒く見えます。冷たいものや甘いものを飲食したときに、しみる・痛むなどの自覚症状が現れます。この段階から進行が早くなるため早期の治療が重要になります。
治療方法
むし歯の部分を削り取り、詰め物で補います。症状によっては局所麻酔を使用します。
むし歯が広範囲な場合は、型を取って作製するインレー(詰め物)や被せ物によって歯の機能を回復します。
詰め物・被せ物などの修復物の材料には様々な種類があり、保険範囲のものと保険外のものがあります。当院では身体に優しく、審美性の高い材料を種類豊富にご用意しています。
C3 神経まで進行したむし歯
症状
むし歯が歯の内部にある神経(歯髄)まで進行した状態です。冷たいもの、甘いものに加え、熱いものでもしみたり、刺激を与えなくても激しい痛みが生じたりする場合があります。
治療方法
炎症が起きている部分と痛んでいる神経を取り除き、神経が入っていた歯の内部(根管)を消毒する根管治療を行います。この段階で治療すれば、歯自体は残せることが多いです。根管治療後は土台を立てて、クラウンを被せます。
被せ物や土台には様々な種類があります。
C4 歯根まで進行したむし歯
症状
歯根の部分までむし歯菌が侵入し、歯の大部分は溶けて崩れ、末期のむし歯の状態です。この段階では痛みを感じる神経自体が壊死しているため痛みを感じません。しかし放置するとやがて歯根部に膿がたまり激痛を生じやすくなります。麻酔も効きにくく、歯を残存することも難しくなります。
治療方法
ほとんどのケースで抜歯が必要となります。抜歯後は、ブリッジや入れ歯、インプラントなどで歯の機能回復を図ります。
抜歯(歯の喪失)後の治療方法
様子を見ていい大きさのむし歯ならフッ素や経過観察で様子見ることもあります。
回数はむし歯の大きさ数によって違うので、かかる回数はしっかり説明し、患者様の都合にあわせて調整させていただきます。
治療内容にもよりますが、仮の蓋をしている場合、歯をSETした場合は30分はあけていただく場合が多いです。
治しても口の中の環境により再発することはあります。再発を防ぐために精密な治療と定期的なチェックを大切にしています。
口の中の状態によっては経過観察でも悪化しないこともあります。
進行しているかどうか、患者様としっかり話したうえで経過観察か早めに治すか判断します。定期健診等で進行が見られたら早めに治すこともあります。
TOP